lunes, 14 de noviembre de 2016
domingo, 13 de noviembre de 2016
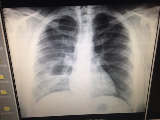
Hipertension pulmonar tromboembolica
Paciente femenina de 25 años de edad con disnea de esfuerzo y tos no productiva desde hace 2 meses, con soplo sistolico sin ganglios supraclaviculares que llega con rx de torax simple. El ecocardiograma revelo presion de arteria pulmonar de 34 mmhg y derrame pericardico y en la tomografia del torax con contraste hay derrame pericardico y tumoracion por encima del arco aprtico y trombo en arteria pulmonar derecha con reduccion del calibre de arteria piñmonar
Etiquetas:
Hipertension pulmonar tromboembolica
sábado, 18 de junio de 2016
Absceso pulmonar
Paciente de 39 años de edad, con fiebre alta, escalofrio, tos con expectoracion marron fetida abundante, no fumador, sin antecedentes de ingrstion de cuerpos extraños, HIV negativo, asmatico reconocido con uso de esteroides por su enfermedad durante las crisis.
viernes, 10 de junio de 2016
Hematoma extrapleura
Paciente despues de una via central izquierda. Rx ante de via central y tct despues de la via central
sábado, 5 de marzo de 2016
Suscribirse a:
Comentarios (Atom)














